有)大阪歯周インプラントセンターは正式登記された
有限会社(特例有限会社)であり、
医療法人 白鵬会は医療部となっています
CTを用いた総合的な口腔健診
CTを用いた総合的な口腔健診とは
当院では歯周病の検査を中心にCTによる画像診断を使用した総合的な口腔健診を行っています。
CT画像診断は2012年4月から健康保険適用になりました。
多くの患者さんが総合的な口腔健診を受けることが可能になりました。
詳細は以下を参照ください。
総合的な口腔健診によって以下のような病気が発見ができます。
● むし歯
● 歯周病(各歯の進行状態と診断)
● 根の中が化膿する(根尖性歯周炎)
● 骨の中に膿の袋ができる(歯根のうほう)
● 根の病気から上顎洞への炎症が波及する(蓄膿症:上顎洞炎)
● 歯茎がやせる(歯肉退縮の原因)
● 矯正治療後の根吸収
● 顎関節症 など
当院では上記検査の結果を各分野の専門医が直接患者さんに説明いたします。
口臭や歯周病、何度治療しても治らない根の病気、歯を抜かないといけないと言われたが原因を知りたい、などの心配事で多くの患者さんが当院に来られます。
大切なことは検査をして病気の原因を知ることです。
治療をするかどうかは、検査結果と診断を聞いてから、複数の治療方法の中から患者さんが選択されれば良いと思います。
CTによる画像診断を使用した総合的な口腔健診の流れ
(所要時間と費用)
検査には3回の来院が必要です。お電話で都合のいい日の予約をお取りください。
第3回目は院長もしくは専門医の説明がありますのでその日時を予約ください。
3回の来院日の間隔は特に決まっていません。3日連続でも可能です。
| 第1日目 | 初診 問診(患者さんの気になる症状などをお聞きします。) 口の中の健診、かみ合わせなどを検査します。 所要時間 30分から60分 費用(3割負担)約2500円~3500円 |
|---|---|
| 第2日目 | CTによる画像検査、各歯ごとの検査、病状部をビデオ撮影(説明時に使います)
デンタルエックス線14枚法検査など 所要時間 約60分から約90分 保険適用でない検査の場合には自由診療(保健外診療)となります。 ※自由診療(保険適用外)の場合にはCTの撮影費用15000円 歯周病の細菌検査には15000円~18000円の費用がかかります。歯周病のすべての精密検査(CT、細菌検査、口臭検査など)を行った場合には45000円の検査費用がかかります。 |
| 第3日目 | 歯周組織検査、専門医による結果説明
所要時間 30分から60分 費用(3割負担)約1000円程度 |
※事前に予約をしていただきます。
予約時間に遅れられた場合にはお待ちいただくことがあります。
※当院の検査結果(エックス線写真など)をセカンドオピニオンのために他院(次の先生)にお渡しすることは可能ですが、 当院のCTにおいてはシステム上データを外部に出すことができません。 あらかじめご了承ください。
大阪駅前マルビル診療所 TEL 06-6346-0301
JR徳庵駅前診療所 TEL 06-6744-1300
総合的な口腔健診で見つかった病気の例
1)上顎洞炎(蓄膿症)が見つかった患者さん
上の奥歯が咬むと痛く、頭痛もありました。歯医者で何回治療をしても症状が改善せず、当院の総合健診を受診された結果、上顎洞炎(蓄膿症)が見つかった患者さんです。
1本ずつの歯に対して、精密な検査を実施することで病気の原因と進行状態が診断できます。
早く診断し、適切な治療を行った結果、患者さんは症状も消失し、歯も抜かずにすみました。
(30歳女性:以下の資料は患者さんの了解を得て載せています)
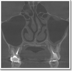
根の治療が不完全で歯根の先が化膿しています。
CT検査で上顎洞内の粘膜が肥厚(矢印)しているのがわかります。 歯根の病気で上顎洞炎(蓄膿症)になっていました。頭痛の原因は蓄膿症でした。
膿んでいた歯の治療によって腫れていた上顎洞内の粘膜も元に戻りました。 上顎洞炎(蓄膿症)も治り、症状も消失しました。
2)歯根の破折が見つかった患者さん
(患者さん本人の了解を得て載せています)
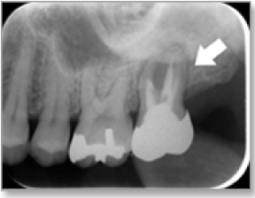
45歳女性、1年以上前から上の奥歯が咬むと痛く、大学病院でも治療を行ったが改善せず、当院の総合健診を受診されました。
その結果、根の中に病気があるだけでなく、歯根にひび(破折線)が入っていることがわかりました。
治療によって痛みは消失し、抜歯せずにすみましたが、違和感は残りました。
総合健診の結果、通常のエックス線写真だけ見つけにくい原因が見つかった一例です。
矢印の部分に黒く膿んでいる部分が見られます。
根の破折が疑われます。
3)外傷で歯を脱臼した患者さん
(患者さん本人の了解を得て載せています)
18歳の女子大学生、部屋で転んで前歯を机で打ちました。来院された時には歯ぐきから出血していました。
通常のエックス線検査では正面から撮影しますので、特に歯の異常はわかりません。
しかし、CTによる検査では歯の位置を 横から診査できます。その結果、歯を打撲したことによる側方脱臼と診断されました。
歯を元の位置に整復固定を行いました。現在は神経も保存され経過良好です。CT検査でしか判別できない症状でした。
正面から撮影しますので、根の先の黒い影(矢印)以外の異常はわかりません。
歯の位置を横から診査できます。矢印の方向に歯が回転して脱臼しています。
歯を元の位置に戻して整復しました。神経も保存され経過良好です。
4)矯正による歯根の吸収
(患者さん本人の了解を得て載せています)
28歳OL、矯正治療中に歯ぐきの検査を希望され来院しました。 歯周病の検査のためにCT撮影を行ったところ、矯正中の前歯と奥歯に歯根吸収が見られました。 今後の生活に支障が出るような大きな吸収ではありませんが、矯正治療の前後にはCT撮影による歯根の状態の検査は重要です。
