有)大阪歯周インプラントセンターは正式登記された
有限会社(特例有限会社)であり、
医療法人 白鵬会は医療部となっています
むし歯治療(充填治療・根管治療など)
虫歯を詰めたり、型を取ってかぶせたりします。また、膿んでいる歯根の中を治療します。一般的な歯医者さんの治療です。
虫歯は、歯の表面に引っ付いたプラーク内の細菌が、酸を出し歯を溶かしてゆく病気です。溶けてなくなった部分の歯を金属やレジン・セラミックなどの人工材料で修復し、歯の機能や審美性を元に戻す治療です。
虫歯の治療と聞くと、どうしても歯を削る“キューン”と言う音と、痛いって言うイメージが強いですね。
でも心配要りません。昔と違って今の麻酔は良く効きます。また注射も痛くなく出来ます。心配せず当院スタッフにご相談下さい。
1)充填治療(コンポジット・レジン修復)
当院のコンポジット・レジン充填治療の
良い面と悪い面
良い面
- 1)金属修復(インレー)のように型どりの必要がありません。
そのため、一回の治療で終了します。 - 2)色が白く金属色が目立ちません。
- 3)歯質に直接接着(ダイレクト・ボンディング)するので
セメントで付けるける必要がありません。
悪い面
- 1)金属材料に比較して徐々に摩耗(すり減り)します。
- 2)年月とともに詰め物の色が変色することがあります。
- 3)治療する場所によっては、強度が弱く、欠けることがあります。


これらの治療は全ての患者さんに適応できるわけではありません。治療の良い面とリスク(悪い面)をよく理解した上で治療を選択して下さい。 治療開始前に担当医とよくご相談下さい。
奥歯にインレー(金属をセメントで付ける治療)が二次カリエス(またむし歯)になりコンポジットレジンで治療しました。見た目もきれいになりました。

奥歯4本に金属インレーが入っています
4本とも白くなり二次カリエスも
治りました
奥歯に金属のかぶせ物が入っていますが、このような歯でもコンポジットレジンで健康な歯のようになります。

左右の奥歯に金属のかぶせ物が
1本ずつ入っています
かぶせる前の健康な歯に戻ったように
白くなりました。
これらの治療は全ての患者さんに適応できるわけではありません。治療の良い面とリスク(悪い面)をよく理解した上で治療を選択して下さい。 治療開始前に担当医とよくご相談下さい。
2)根管治療後の歯(歯の神経の治療後)

(根管治療が終わりました)

周囲に歯がたくさん残っています

(一般的にはかぶせます)
3)膿んでいる根の中の治療(再根管治療・感染根管治療)
膿んでいる歯根の治療を再根管治療や感染根管治療と呼びます。
患者さんも、「神経の治療」として、聞かれたことがあると思います。
この治療はすごく大切です。特に一度治療をした根管の中が化膿し、再度治療を行う場合には成功率が低くなります。
これらの治療を成功させる一番のポイントは、感染した根管内を無菌状態に消毒することです。 当院では以下の消毒薬と超音波器具(Pマックス)による洗浄を行っています。
・ 次亜塩素酸ナトリウム(ネオクリーナー)
・ EDTA(モルホニン)
これらの消毒薬剤によって根管内を無菌状態にしますが、本当に無菌状態かを「根管内嫌気細菌培養検査」によって確認しています。

根管内から採取した歯髄や象牙質削片を培養液(プラディア)に浸けて、細菌がよく育つ環境を保つ機器(インキュベーター)の中で16~48時間培養し観察します。

左の液(濁った方・赤紫)が陽性で細菌が検出されいます。右側(透明・青色)は嫌気性細菌が陰性で無菌状態が確認できました。
細菌が残存したまま(陽性)治療を進めると、その後年月が経過し、根管内が化膿する可能性が高くなります。
歯医者さんで「根の中が化膿している」と説明される病気の原因にもなります。
参考文献
Sjögren U, et al. Int Endod J. 1997;30(5):297-306.
Ng YL, et al. Int Endod J. 2008;41(1):6-31.
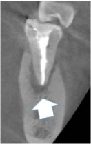
以下は治療のレントゲンです。

矢印の付近、黒い部分が 病気で骨が溶けています。

黒かった病気の部分が なくなりました。

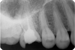
矢印の付近、黒い部分が 病気で骨が溶けています。

黒い病気の部分が消えています。

レントゲンで白く写る薬が ちゃんと詰められていません。

薬がちゃんと3つの根に詰まりました。
これで安心です。
4)一度治療した金属の土台が入っている歯の治療

歯の根の部分にまで金属の土台とかぶせ物が 入っています。根の治療を行うには土台の金属を 除去せねばなりませんが、無理に外すと歯が割れて しまう心配もあります。(白い部分が金属です)

残っている歯を損傷することなく金属の土台を除去し、根の中に薬が入りました。これで安心です。
5)見た目を改善する治療(セラミック修復)

歯の白い部分(白濁)があり 気になるという患者さんです。

歯の表面だけ削りセラミックを 貼り付けました。 治療回数は2回で、 麻酔も必要ありません。
これらの治療は全ての患者さんに適応できるわけではありません。治療の良い面とリスク(悪い面)をよく理解した上で治療を選択して下さい。 治療開始前に担当医とよくご相談下さい。