有)大阪歯周インプラントセンターは正式登記された
有限会社(特例有限会社)であり、
医療法人 白鵬会は医療部となっています
歯列矯正科
歯並びを治す科です。歯列矯正の治療は、乳歯と永久歯が混ざっている小学生の頃に行う矯正と、すべての永久歯が生えそろってから行う成人矯正があります。
基本的に矯正治療は何歳になっても可能です。40~50歳で治療を開始する方もいらっしゃいます。
当院では矯正学会の認定医が相談に応じます。またスタッフにも気軽にご相談下さい。
最近、セラミック矯正など健康な歯を削ってセラミックを被せるだけの歯科治療を、セラミック矯正と広告して、矯正治療のように思わせる施設もあるので注意して下さい。
矯正治療は健康な歯のまま移動させる専門医の治療です。
歯を削って被せることはありません。
矯正治療の治療期間
一般的に装置を付けている時期(動的期間)が1年半から2年、動いた歯が治療前の状態に戻らないように(後戻り)安定化させる時期(保定期間)が約1年間です。
保定期間には歯の表の装置は全て外しますので、実際の矯正のワイヤーが入ってる期間は、2年ぐらいになります。
矯正治療の開始時期
矯正治療は全ての永久歯が生え揃わないと完了出来ませんので、6歳臼歯(第一大臼歯)の奥の歯が生え揃う中学2~3年生ぐらいから開始するのがベストです。
中3や高3の時期は受験勉強があるため、高1から開始して高2で終了を希望される患者さんが多いです。
小学生から矯正は必要か
先に述べましたが全ての永久歯が生え揃わないと、治療は完了しません。生え揃う中学2、3年までは必ず装置を付ける必要があります。
早く開始すると、その分装置を付ける期間が無駄に長くなります。子供本人が苦痛です、むし歯や清掃不良の時期も長くなります。
小学校から装置を付ける(マウスピースタイプも含め)ことは一般的にありません。
マウスピース矯正(アライナー矯正)
これは、本来保定期間に使用する、後戻りを防止するための取り外し自由な装置です。
見た目が良いので、最近動的矯正にも広まっていますが、ワイヤーを付ける正規の矯正治療を行っている先生が、一部の患者さんに簡易的に行う治療です。
矯正治療が和食とすれば、マウスピース矯正は、和食の一部のお茶漬けと言う感じでしょうか。
以下は
日本矯正歯科学会の見解と注意喚起です。
※ マウスピース矯正を用いた治療において、矯正治療とは言い難い不適切な処置や対応が一部で見られるようになっている。十分な医療面接を行い、診察、検査、分析、診断を行い、歯科矯正学の
基本的知識の習得と一定期間のトレーニングを受けた歯科医が行う治療である。
詳しくは以下を参照下さい。
1)日本歯科医師会雑誌 vol 76 No5 P16-17 2023年
2)アライナー(マウスピース)型矯正によう治療指針
https://www.jos.gr.jp/asset/aligner_pointer.pdf
3) ポジションステートメント マウスピース型矯正装置による治療に関する見解
https://www.jos.gr.jp/asset/info_20190605.pdf
矯正治療前に必要な検査
矯正治療の前に必要不可欠な検査
- 1)パノラマおよびデンタルX線検査
- 永久歯の本数が正常にあるのか、歯の根の状態や長さを調べます。
これを行なってないと、矯正治療後の歯根吸収のリスクを診断できません。 - 2)むし歯や歯周病の状態
- 矯正後にむし歯や歯周病が進行してしまうリスクをなくします。
- 3)CT検査
- CTによる3次元的な検査で歯や骨の状態を調べます。
- 4)セファロエックス線規格撮影
- 横顔のレントゲンから歯の位置状態を調べます。目、鼻、耳などの位置から矯正後の理想的な歯並びを分析します。
- 5)家族や兄弟の歯並び
- 歯並びは遺伝の影響が大きく、特に、小学生や中学生では将来の成長を予測して治療計画を立てます。
インプラントネジを併用する矯正治療
一般的な矯正治療は第一大臼歯という一番歯根のしっかりした歯を固定源にして前歯などを動かしていきます。
しかし、もっとしっかりとした固定源が、必要な場合には、チタンのネジを骨の中に埋め込んで、それを固定源として歯を動かすこともあります。
このネジを埋入する手技は、麻酔をして行う外科手術になります。
手術環境が完備された、口腔外科やインプラント手術の基本的な知識と技術を持った歯科医のもとで治療を受けて下さい。
矯正治療の開始前にインプラントネジと手術が必要な場合には、治療計画として担当医の先生から説明があるはずです。矯正治療を行って上手くいかないから、インプラントネジを使うという治療計画であれば、疑問点として担当医に相談下さい。
安心出来る矯正医
矯正治療科を標榜している、矯正の専門医をさがしてください。
普段は歯科治療しか行っていないのに子供だけに矯正治療を行う先生には、疑問点を質問してくたさい。
上に記載した最低限度の検査を行っていなければ不安です。
またワイヤーを付ける正規の矯正を行っていないのに、マウスピース矯正だけしている先生も専門医ではありません。
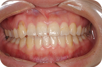
下記の治療例をご参考ください。
(これらは全て患者様の了解を得て掲載しています)
(安定したかみ合せが続いています)
| 治療期間 | 動的治療期間約18ヶ月 保定期間12ヶ月 |
|---|---|
| 治療費用 | 60万円+来院時の調整費用約5000円 |
| リスクなど | 治療中断による後戻りなど |
マウスピース矯正(アライナー矯正)について
マウスピース矯正とは正しくはアライナー矯正のことです。
通常の矯正のような金属ワイヤーを付けずに、歯にアタッチメントと呼ばれる小さな突起物(白いレジン材料)を付けます。そして透明のマウスピースをはめることで、そのアタッチメントにいろいろな方向の力が作用して歯が動いてきます。ただし、複雑な歯並びには対応できません。
歯を抜いたりした場合には、通常のワイヤー矯正を併用する必要もあります。
何よりも、治療前の検査(レントゲン検査、CT検査、むし歯や歯周病の検査、セファロ規格撮影による骨格分析など)は通常の矯正と同じです。
決して簡単にできる矯正治療ではありませんので、治療前に矯正の担当医(専門医)によく相談してください。
| 治療期間 | 動的治療期間約10ヶ月 保定期間12ヶ月 |
|---|---|
| 治療費用 | 80万円+来院時の調整費用約5000円 |
| リスクなど | 正しく装置しない場合の治療期間延期、治療中断による後戻りなど |
▪️マウスピース矯正の良い点と悪い点
良い点
1)線を付けないため目立たない
2)自分で取り外しができる
3)ブラケットや線が付かないので頬や唇の痛みが少ない
悪い点
1)歯を抜いた場合には閉鎖が難しい
(マウスピース矯正は避けた方がよい)
2)マウスピースを正しく(毎日)付けていないと歯が動かない。
3)歯に付ける白い突出物(アタッチメント)が取れることが多い。
4)マウスピースを付けたまま甘味料入りのジュースなどを
飲むとむし歯や歯周病になりやすい
5)一定期間装置を付けていないと入らなくなる
表からは見えない舌側矯正
患者さんが矯正治療をためらう理由の1つに装置が目立つという事があります。
舌側矯正は装置を歯の裏側に装着しますので、正面から見えにくい矯正方法です。「職業的に表側の矯正装置はつけられない」などの患者さんには喜ばれます。
治療期間も現在では表側の矯正とそれほど変わらなくなりました。装置も小さくなりましたので以前のような違和感や発音しづらさも軽減しました。
詳しくは当院スタッフにお尋ねください。
| 治療期間 | 動的治療期間約12ヶ月 保定期間12ヶ月 |
|---|---|
| 治療費用 | 100万円+来院時の調整費用約5000円 |
| リスクなど | 会話時の違和感、舌の違和感、治療中断による後戻りなど |
