有)大阪歯周インプラントセンターは正式登記された
有限会社(特例有限会社)であり、
医療法人 白鵬会は医療部となっています
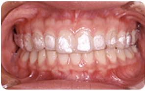
審美漂白治療(ホワイトニング)
歯を削らずに、白くする方法です
自宅で、寝ている間に(5時間ぐらい)マウスピースのような歯型の中に薬を入れて、歯を白くしていきます。最初の型取りのほかは、通院して行う治療はありません。通常3~4週間ほどで歯が白くなります。その間の不快症状は、ほとんどありません。また歯の表面を傷つけることもありません。ご安心ください。
当院で治療を行った多くの患者さんに満足いただいています。
当院は、歯の漂白のほか歯周病とインプラントを中心にすべての口腔内の疾患に対応した治療所です。ご遠慮なくご相談ください。



