有)大阪歯周インプラントセンターは正式登記された
有限会社(特例有限会社)であり、
医療法人 白鵬会は医療部となっています
歯を失った場所の治療(インプラント治療)
当科でインプラント手術を受け、人工の歯で噛まれている患者さんは1,000人を超えます(詳しくは当院の年間手術数を参考下さい)。インプラント治療は専門医の下で十分な検査をしてから行う処置ですので心配は要りません。
インプラント治療は全ての患者さんに適用できる治療ではありません。 保険適用ではありませんので自由診療となります。
当院のインプラント治療の
良い面と悪い面
良い面
また荷重負担(噛んだときに歯に加わる力)も軽減できます。
残った歯の負担を軽減できます。
悪い面
- 1)インプラントを埋め込む手術が必要になります。
心臓疾患や糖尿病など全身の病気がある場合には手術ができないことがあります。 - 2)自由診療となるため費用がかかります。
費用については下記の費用表を参照下さい。 - 3)歯周病などの治療を終わらせてからでないと治療を開始できません。
治療後に歯周病の原因菌によってインプラントが感染する可能性が
高くなります。 - 4)治療後も定期的にメインテナンスで来院する必要があります。
- 5)骨の状態やかみ合わせなどの検査の結果によっては、インプラント治療が
適さないことがあります。
インプラント治療
インプラント埋入手術 (埋入本数には関係ありません) |
300,000円 | |
---|---|---|
骨再生誘導手術 (インプラント手術を行う場所に骨が少ない際に 行う骨を増やす手術です) |
150,000円 | |
インプラント周囲の歯肉形成手術 (インプラント周囲の歯肉を形成する手術です) |
100,000円 | |
上部補綴物 (インプラント上部のかぶせ物) |
1歯欠損部 | 200,000円 |
2歯欠損部 | 350,000円 | |
3歯欠損部 | 500,000円 |
これらの治療はすべての患者さんに適用できるわけではありません。
インプラント治療の良い面、リスク(悪い面)についてよく理解した上で治療を選択してください。
インプラントに関する疑問や質問は公益社団法人 日本口腔インプラント学会ホームページから
『歯科インプラント治療に関してよくある質問』を参照下さい。
むし歯の治療でかぶせ物をする場合などでも、歯周病の治療を行っておくと清掃性が高まり、 自分の歯を長く残すことが出来ます。
インプラントを長持ちさせるために大切なこと
せっかく時間と費用をかけてインプラントの歯が入ったのですから、 インプラントは長持ちして欲しいと思うのは当然です。
インプラントがダメになる原因は残っている歯の歯周病菌からの感染です。これはインプラント周囲炎というと呼ばれ、 インプラントの歯周病です。
つまりインプラントを長持ちさせるためには、残っている歯の歯周病 治療を終わらせること。またインプラントの歯が入った後も、 残っている歯のメインテナンス治療を継続して行う必要があります。
どのような病気でもそうですが、早期発見・早期治療が一番大切です。
残念ながらインプラントの感染を100%防ぐことは出来ません。
しかし、インプラント周囲の骨が溶け出す(インプラント周囲炎)前の段階(インプラント周囲粘膜炎)で発見して治療すれば元の健康な状態を維持出来ます。
これらの発見は専門医や専門歯科衛生士でなくては難しくなります。
インプラントに関する疑問や質問は
公益社団法人 日本口腔インプラント学会ホームページ
から『歯科インプラント治療に関してよくある質問』を参照下さい
インプラントをする前に考えて頂きたいこと
インプラント手術を受ける前に、そこにあった歯をなぜ失ったかを考えてください。
歯を失う原因の一番は歯周病です。もし歯周病で歯を失ったのであれば、原因である歯周病の治療をせずにインプラント治療を行う事はよくありません。
歯周病で他の歯も次々と失う可能性があります。
また、せっかく作ったインプラントも長持ちしません。
インプラント治療を行う前に、歯周病の治療が必要である事は、日本歯周病学会のガイドラインにも規定されています。
当院歯周病科には、他の医院や大学病院で治療した歯のメインテナンスを希望される患者さんが 多く来られます。
他の医院でインプラントを入れた、大学病院で義歯や歯をかぶせた、その後のメインテナンスは その医院や大学病院でできないので、当院の歯周病科で診て欲しいと言って来られます。
本来インプラントや歯をかぶせる前に歯周病の検査と診断、治療を終わらせてから、義歯やかぶせもの、 インプラント治療を行わねばなりません。そのような患者さんの多くは、歯周病の検査を受けていません。
まずは検査を受けて、ご自身の歯の状態(歯周病の進行程度)を知ってください。
インプラントを数多く埋入している歯科医が上手ということはありません。数多くのインプラントを埋入しているという事は、そこに元々あった患者さんの歯も数多く残せなかったということです。
中には1万人以上の患者さんにインプラント治療を行ったと言われている先生もいますが、常識的に考えてあり得ません。臨床経験30年としても年間300人以上です。日本口腔インプラント学会や日本歯周病学会などの専門医資格を持つ歯科医から見れば正しい情報を患者さんに伝えていません。
インプラント治療は患者さんの歯を不幸にして残せなかった結果、反省の上で行う治療と私は考えています。
天然の歯を残すには、歯周病や根管治療(歯の神経の治療)など高度な技術が必要です。
患者さん自身の歯を残せる歯科医と出会ってください。
私は以下のような歯科医であれば安心して治療を受けて頂いて良いと思っています。
1)学会の専門医
(専門医:厚生労働省が認可した学会で一定数以上の手術や治療を経験し、規定の研修・試験を受けて合格した歯科医師)
・ 日本口腔インプラント学会
・ 日本顎顔面インプラント学会
・ 日本歯周病学会
・ 日本補綴歯科学会 など
2)初診時の診断から、手術、治療後のメインテナンスまで同じ専門医が責任をもって診察してくれる。
3)むし歯や歯周病を完全に治療してからインプラント治療を行う。
(残存歯の歯周病を放置すると、その細菌がインプラントの予後に大きく影響します。)
高度な設備(CT、マイクロスコープ、CAD/CAM、手術室、静脈鎮静など)はあれば良いでしょうが、 絶対に必要な物ではありません。
それを使う専門医の先生の考え方や技術の方が大切です。
また、海外で取得した専門医などの
資格や卒業経歴も注意が必要です。
そもそも日本の歯科医師免許では、
海外での医療行為は難しく、
海外での資格取得は、患者さんを診ずに、
研修だけで、取得していることが大半です。
日本の歯科医師資格の最終学歴は、
国内の大学歯学部しかあり得ません。
世間一般でも、国内資格を隠して、
海外での修了や卒業を
誇示している方はいますね。
医療分野では、海外の資格は、日本の厚生労働省が
認める事もありませんので、
単なるお飾りの資格と考えて下さい。
当院では、同じインプラントの専門医が初診から手術、そして術後のメンテナンスまでを責任を持って行います。また、インプラント学会のインプラント認定歯科衛生士も皆さんの治療や口腔管理をお手伝いします。安心して治療をお受けください。
インプラント手術を含め当院の手術はISO 9001:2015の審査を受けており、手術器具などの感染予防から医療安全対策まで高いレベルの水準を保っていることが認定されています。ご安心ください。
→インプラントに関するQ&A
→インプラントの費用
◆当院でのインプラント治療の流れ
インプラント治療の流れの図
インプラント1歯欠損(奥歯)
当院の患者さん


治療内容 | インプラント埋入手術、二次手術、上部構造作製 |
---|---|
費用 | 55万円 |
治療期間 | 4ヶ月 治療前検査3回、手術3回、型取りから装着4回 |
リスクと副作用 | 手術後の疼痛、腫れ、出血、神経麻痺、インプラント周囲炎など これらの治療はすべての患者さんに適用できるわけではありません。 インプラント治療の良い面、リスク(悪い面)についてよく理解した上で治療を選択してください。 インプラントに関する疑問や質問は公益社団法人 日本口腔インプラント学会ホームページから 『歯科インプラント治療に関してよくある質問』を参照下さい。 実際のインプラントの治療費用や通院日数は下記を参照下さい。 インプラントの治療例 |
インプラント1歯欠損(前歯)

なくなってしまいました。

インプラントで治療します。

治療内容 | インプラント埋入手術、二次手術、上部構造作製 |
---|---|
費用 | 68万円 |
治療期間 | 約8ヶ月11回 |
リスクと副作用 | 手術後の疼痛、腫れ、出血、神経麻痺、インプラント周囲炎など これらの治療はすべての患者さんに適用できるわけではありません。 インプラント治療の良い面、リスク(悪い面)についてよく理解した上で治療を選択してください。 インプラントに関する疑問や質問は公益社団法人 日本口腔インプラント学会ホームページから 『歯科インプラント治療に関してよくある質問』を参照下さい。 |
インプラント2歯欠損
当院の患者さん

なくなってしまいました。

2本埋入しました。

治療内容 | インプラント埋入手術、二次手術、上部構造作製 |
---|---|
費用 | 91万円 |
治療期間 | 約8ヶ月15回 |
リスクと副作用 | 手術後の疼痛、腫れ、出血、神経麻痺、インプラント周囲炎など これらの治療はすべての患者さんに適用できるわけではありません。 インプラント治療の良い面、リスク(悪い面)についてよく理解した上で治療を選択してください。 インプラントに関する疑問や質問は公益社団法人 日本口腔インプラント学会ホームページから 『歯科インプラント治療に関してよくある質問』を参照下さい。 |
インプラント4歯欠損
当院の患者さん

義歯の状態でした。

固定式の歯が入りました。
治療内容 | インプラント埋入手術、二次手術、上部構造作製 |
---|---|
費用 | 119万円 |
治療期間 | 約10ヶ月15回 |
リスクと副作用 | 手術後の疼痛、腫れ、出血、神経麻痺、インプラント周囲炎など これらの治療はすべての患者さんに適用できるわけではありません。 インプラント治療の良い面、リスク(悪い面)についてよく理解した上で治療を選択してください。 インプラントに関する疑問や質問は公益社団法人 日本口腔インプラント学会ホームページから 『歯科インプラント治療に関してよくある質問』を参照下さい。 |
前歯が全てインプラントの患者さん
当院の患者さん

治療内容 | インプラント4本埋入手術、二次手術、上部構造作製5本分 |
---|---|
費用 | 137万円 |
治療期間 | 約12ヶ月15回 |
リスクと副作用 | 手術後の疼痛、腫れ、出血、神経麻痺、インプラント周囲炎など これらの治療はすべての患者さんに適用できるわけではありません。 インプラント治療の良い面、リスク(悪い面)についてよく理解した上で治療を選択してください。 インプラントに関する疑問や質問は公益社団法人 日本口腔インプラント学会ホームページから 『歯科インプラント治療に関してよくある質問』を参照下さい。 |
インプラントと義歯の組み合わせの治療(インプラントを義歯の支えに使います)
当院の患者さん




見た目もきれいになりました。
治療内容 | インプラント奥歯2本、前歯2本埋入手術、二次手術、上部義歯作成(マグネット支持) |
---|---|
費用 | 127万円 |
治療期間 | 約12ヶ月16回 |
リスクと副作用 | 手術後の疼痛、腫れ、出血、神経麻痺、インプラント周囲炎、義歯の破折など これらの治療はすべての患者さんに適用できるわけではありません。 インプラント治療の良い面、リスク(悪い面)についてよく理解した上で治療を選択してください。 インプラントに関する疑問や質問は公益社団法人 日本口腔インプラント学会ホームページから 『歯科インプラント治療に関してよくある質問』を参照下さい。 |
残っている骨の少ない患者さんのインプラント(骨造成手術)
当院の患者さん


骨がほとんどありません。

患者さん自身の骨を再生します。
(骨造成手術)


※これらの写真は患者さんの了解を得て載せています。
治療内容 | インプラント埋入手術、GBR(骨造成手術)二次手術、上部義歯作成 |
---|---|
費用 | 124万円 |
治療期間 | 約8ヶ月10回 |
リスクと副作用 | 手術後の疼痛、腫れ、出血、神経麻痺、インプラント周囲炎など これらの治療はすべての患者さんに適用できるわけではありません。 インプラント治療の良い面、リスク(悪い面)についてよく理解した上で治療を選択してください。 インプラントに関する疑問や質問は公益社団法人 日本口腔インプラント学会ホームページから 『歯科インプラント治療に関してよくある質問』を参照下さい。 |
残っている骨の少ない患者さんのインプラント(サイナスリフト手術)
当院の患者さん






※これらの写真は患者さんの了解を得て載せています。
治療内容 | インプラント右上3本埋入手術、サイナスリフト手術(上顎洞底挙上手術)二次手術、上部構造作成 |
---|---|
費用 | 124万円 |
治療期間 | 約10ヶ月15回 |
リスクと副作用 | 手術後の疼痛、腫れ、出血、神経麻痺、インプラント周囲炎、など これらの治療はすべての患者さんに適用できるわけではありません。 インプラント治療の良い面、リスク(悪い面)についてよく理解した上で治療を選択してください。 インプラントに関する疑問や質問は公益社団法人 日本口腔インプラント学会ホームページから 『歯科インプラント治療に関してよくある質問』を参照下さい。 |
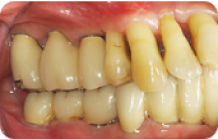
総義歯の患者さんのインプラント
サイナスリフト手術のレントゲン写真
インプラントを行う前に必要な歯周病治療
インプラント治療を行う前には、レントゲンやCT等の骨の検査だけでなく残っている歯の歯周病検査が必要です。
インプラントが長持ちしない原因の一つは歯周病と同じ細菌感染です。
その細菌は、インプラント近くの歯の歯周病菌に由来する事がわかっています。
せっかく作ったインプラントを長持ちさせたいのは、患者さんも我々も同じです。
そのためには、歯周病の検査と歯周病の治療を前もって行う必要があります。
インプラントの専門医であれば、歯周病の治療を前もって行うことの大切さを説明してくれるはずです。